The Wake Up Call (Part 1)
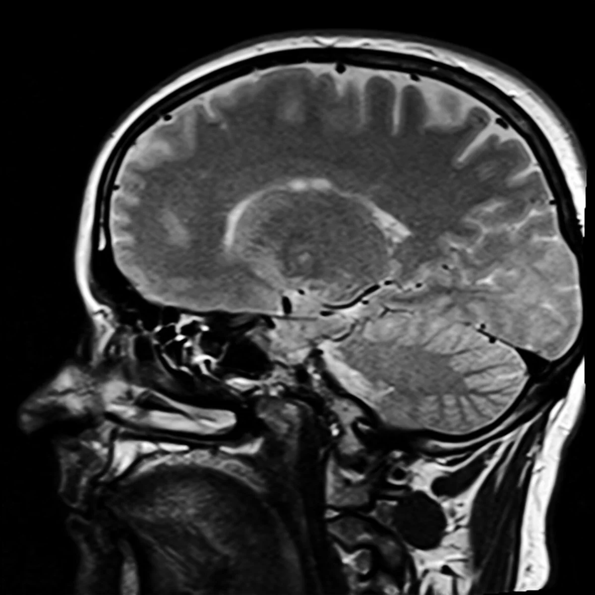
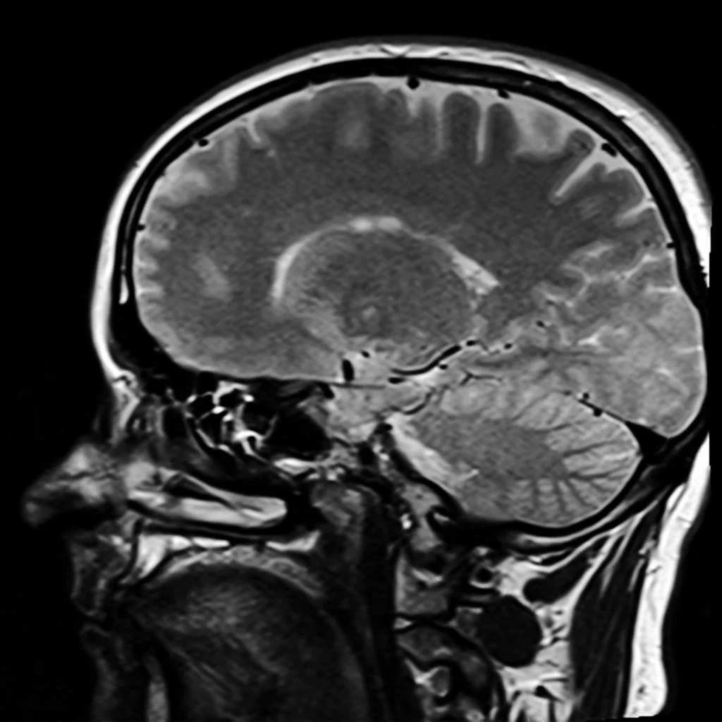
I sat, nervously watching the clock. It had been 21 hours since my MRI and they told me they would call me with the results within 24 hours.
Screw it. I’m calling them.
I pick up the phone and dial my doctor. The phone rang twice before a female receptionist mumbled an unintelligible greeting. When I hear her pause, I respond: “Yes. Hello. My name is Jaime and I had an MRI yesterday. I was wondering if the results came in yet?”.
I proceeded to answer her screening questions on date-of-birth and address, making sure I am who I say I am. After satisfying her, she responds “I’m sorry but the doctor is out until next Thursday”. Seriously? I can’t wait another week and a half for an answer.
“Well” I reply, “she was supposed to call me within 24 hours with my results.”
“I can put a request in with the attending that is covering for her this week, if you like”, she responds. Why is this even a question? Who says “Meh. I can wait another couple weeks to find out if I have a brain tumor”.
”Yes. Please have her call me as soon as it is convenient.” I gave her my number, hung up the phone and continued to watch the clock.
***
Two months ago I started having double vision. Again. This wasn’t my first rodeo with eye problems.
When I was 12 years old, my grandfather told me about an upcoming partial solar eclipse. He read about it in the local paper. In my excitement, I only heard part of the details: that it was going to occur tomorrow at 2pm. I missed the part about it not being visible from North America and more importantly, how to safely view a solar eclipse.
It was August and it was hot. My mom packed lunches and my brothers and I all scrambled into the station wagon to go to the local state park. The park had a public swimming pool, creeks, several playgrounds and endless hiking trails. That is where we spent our summer vacations. We arrived and headed to find a spot by the pool. It was about 11 am and it would get crowded.
I spent the next couple hours between looking for crayfish in the creek and swimming in the highly chlorinated pool, but always watching the clock. There was a clock mounted on the cinder block changing room and when it read 1:45 pm, I laid down on my pool towel and started looking for the solar eclipse. There was no way I was going to miss it. I had plans on being an astronaut when I grew up and this was a rare astronomical event! I looked directly into the sun. It was bright and my eyes began to water profusely. I couldn’t see anything with watery eyes. I needed another strategy. Maybe if I covered one eye I could see better. So I covered my left eye and used my right eye to look for the eclipse. Blinking rapidly, I was able to clear away the tears and still see the sun. I stared long past 2 o’clock.
I never saw the eclipse.
I never saw anything in the center of that eye again.
I would find out later that I had burned a hole in the fovea of my right eye and would forever have a blind spot in the center of that eye. I also found out you should never stare at the sun.
In my twenties, LASIK surgery was trending and was advertised everywhere. Signs stating “Buy One Eye, Get One Eye Free!” and “Say NO To Glasses!”.
I had poor vision my entire life (made more so by my solar eclipse experiment) and I had to wear contacts at all times or I was blind as a bat. I couldn’t even read the alarm clock when I woke in the mornings. Getting LASIK surgery would not only correct my vision, but then I wouldn’t have to budget for disposable contacts ever again. I weighed the options. What could go wrong? It was expensive but I considered it a long-term investment that would pay off. I started saving for the surgery.
Six months later, I went in to see the doctor and he ran the required eye tests. He could perform LASIK in my left eye, but my right eye (the same eye that had the solar burn) had to have photorefractive keratectomy, or PRK as it was commonly known. Both surgeries had the same result but PRK took longer to heal. The LASIK procedure involves creating a flap in the cornea whereas with PRK, the top layer of the cornea is removed. Either way, it didn’t matter to me. They doctor said both resulted in 20/20 vision and at this point I was determined to do it. I booked the surgery.
The morning of the surgery came. It was supposed to be an easy and painless procedure that took less then 10 minutes per eye. The doctor had prescribed me a sedative to make me more comfortable since I would be awake during the procedure. I filled the prescription but opted not to take it. I didn’t like taking unnecessary medications and past experience proved I was very sensitive to pharmaceuticals.
I waited in the lobby until they called my name. Then the nurse directed me to the room where they would be doing the surgery. It was bright and occupied by a large table and machine. I was told to lay down on the table. The doctor arrived, greeted me and then went over the surgery with me in detail. Confident I understood, he then proceeded to put clamps on my eyes to hold them open. Not so different from the mouth openers the dentists use. The clamps felt uncomfortable. He added drops to my eyes which blurred my vision and then pulled the LASIK machine over my head. I was warned to not move my head at any cost during the procedure or it could result in vision loss. I gripped the cloth on the table and braced myself as the machine was turned on. Bright light seared my vision and I could smell something burning. It wasn’t so unlike staring at the sun to see the eclipse. Except this burned. I gripped the table harder. Clenching my jaw and my fists. I questioned my decision to not take the sedative. That thought would replay in my mind in a loop the next 20 minutes as the laser cut my eye and seared my cornea. I could see red and orange and yellow colors. My stomach turned with nausea. After what seemed like forever, the doctor moved to the right eye and the process began all over again. The bright light and searing pain. I asked the doctor through clenched lips if I was supposed to feel pain. He said I wasn’t and added more drops. They didn’t help much.
When the procedure was over I was helped off the table and into another room where I was to recover. I was in a state of shock. I didn’t expect to feel pain. The doctor said this was a painless procedure. Was it because I didn’t take the sedative? My eyes were on fire. I told the nurse who got the doctor. He examined me and looked perplexed as to why I was feeling pain. I told him I didn’t take the sedative. He said nothing but wrote me a prescription for pain medicine. When I was cleared to leave the office, I filled the prescription and took the medicine.
One week later, I went back to the doctor and was told I had 20/20 vision.
One year later, I started seeing double.
***
…to be continued…
